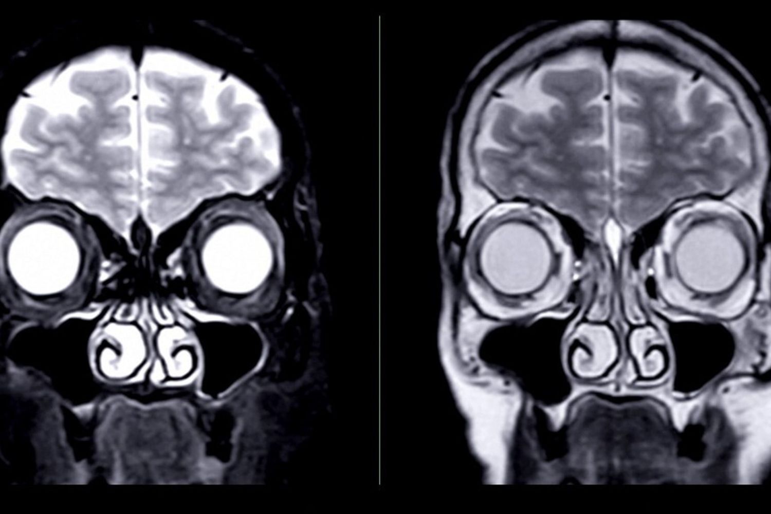
AGI - Non solo allucinazioni, l'abuso di oppioidi potrebbe indurre nei forti consumatori una alterazione della morfologia del cervello, riducendone il volume e producendo alterazioni strutturali e funzionali in specifiche regioni cerebrali. È quanto sostiene uno studio della Yale School of Medicine pubblicato su Radiology, rivista della Radiological Society of North America (Rsna).
Gli oppioidi sono una classe di farmaci che include oppioidi sintetici come il fentanil, antidolorifici da prescrizione come l'ossicodone e narcotici illegali, tra cui l'eroina. Gli oppioidi hanno un elevato potenziale di misuso, ovvero situazioni in cui il medicinale è usato intenzionalmente e in modo inappropriato non in accordo con le condizioni di autorizzazione, mentre l'uso di oppioidi è una delle principali cause di overdose negli Stati Uniti.
Il National Institute on Drug Abuse, ha calcolato che solo nel 2021, circa 2,5 milioni di adulti americani soffrivano di disturbo da uso di oppioidi e le stime del National Center for Health Statistics dei Centers for Disease Control and Prevention indicano 81.083 decessi per overdose da oppioidi in America, nel 2023. L'omportate uso, quasi a livelli epidemici, degli oppioidi invitano a comprendere meglio le alterazioni neurali che possono verificarsi a livello di sistema.
Un'analisi del Collaboration Linking Opioid Use Disorder and Sleep Study (Clouds), finanziata dai National Institutes of Health, ha messo a confronto tra febbraio 2021 e maggio 2023 persone con disturbo da uso di oppioidi in trattamento con metadone e i controlli sani, tramite una risonanza magnetica strutturale e una risonanza magnetica funzionale (fMRI) a riposo, utile a misurare l'attività cerebrale, cioè la connettività tra le regioni neurali, note come reti a riposo, rilevando alcuni cambiamenti nel flusso sanguigno.
L'analisi si è basata su 103 risonanze magnetiche strutturale Clouds di individui con disturbo da uso di oppioidi e 105 controllo e su 74 fMRI a riposo di partecipanti con disturbo da uso di oppioidi e 100 controlli. Gli individui con disturbo da uso di oppioidi erano stabilizzati con farmaci per il disturbo, assunti da meno di 24 settimane. L’Età media nel gruppo con disturbo da uso di oppioidi era di 37 anni, con il 40% erano donne, contro una età media di 27 anni e 55% di donne nel gruppo di controllo.
L'analisi dell'intero cervello ha rivelato alterazioni strutturali e funzionali nelle regioni dense di recettori degli oppioidi nel gruppo con disturbo da uso di oppioidi rispetto ai controlli sani, tra cui dimensioni inferiori del talamo e del lobo temporale mediale destro del cervello e dimensioni aumentate di cervelletto e tronco encefalico. "Inoltre, negli individui con disturbo da uso di oppioidi, abbiamo osservato aumenti diffusi nella connettività globale", ha affermato Saloni Mehta, del Dipartimento di radiologia e imaging biomedico della Yale School of Medicine.
"Intendiamo comprendere le cause di queste alterazioni finalizzate alla messa a punto di nuove opzioni e target di trattamento". Sono emerse inoltre alterazioni nella corteccia prefrontale mediale, una regione centrale coinvolta in molte condizioni di salute mentale, differenziate tra i due sessi, risultata di volume inferiore nelle donne con disturbo da oppioide rispetto all'uomo.
"È fondamentale indagare le differenze di genere anche in studi di neuroimaging sul disturbo da uso di oppioidi", ha concluso la dottoressa Metha, "per meglio comprendere le potenziali implicazioni comportamentali di queste differenze cerebrali, se siano permanenti oppure no, e se possano essere collegate alle misure di esito".