AGI - Il neurochirurgo dell'ospedale di Canberra, la dottoressa Hari Priya Bandi, ha estratto da una paziente un verme rotondo parassita di 8 cm di lunghezza. Il caso è stato documentato nell'edizione di settembre della rivista Emerging Infectious Diseases.
La paziente, una donna di sessantaquattro anni del New South Wales sud-orientale, è stata ricoverata per la prima volta nell'ospedale locale alla fine di gennaio 2021 dopo aver sofferto per tre settimane di dolori addominali, dissenteria, tosse secca costante, febbre e sudorazione notturna.
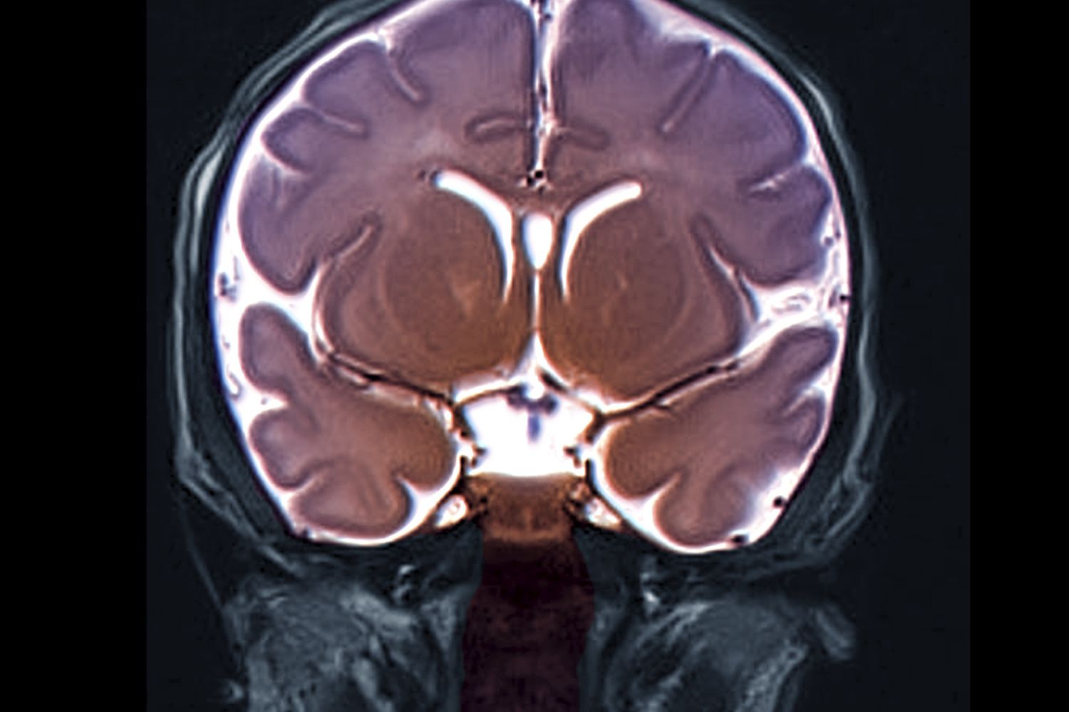
Nel 2022 i suoi sintomi si erano aggravati portandole depressione e perdita di memoria, tanto da richiedere il ricovero all'ospedale di Canberra. Una risonanza magnetica del cervello ha rivelato anomalie che hanno richiesto un intervento chirurgico.
"Ma il neurochirurgo non è certo entrato pensando di trovare un verme che si dimena", ha detto Sanjaya Senanayake, medico di malattie infettive dell'ospedale di Canberra. "I neurochirurghi hanno regolarmente a che fare con infezioni del cervello, ma questa è stata una scoperta unica nel suo genere; nessuno si aspettava di trovare qualcosa del genere", ha proseguito Senanayake.
La sorprendente scoperta ha spinto un'e'quipe dell'ospedale a riunirsi rapidamente per scoprire di che tipo di verme rotondo si trattasse e, soprattutto, per decidere le ulteriori cure che il paziente avrebbe potuto richiedere. "Abbiamo cercato nei libri di testo tutti i diversi tipi di vermi tondi che potevano causare invasioni e malattie neurologiche", ha dichiarato Senanayake.
La ricerca, però, è stata infruttuosa e hanno chiesto aiuto a esperti esterni. "Canberra è un posto piccolo, così abbiamo inviato il verme, che era ancora vivo, direttamente al laboratorio di uno scienziato del CSIRO, che ha molta esperienza con i parassiti. I risultati hanno rilevato che la specie del verme fosse Ophidascaris robertsi", ha precisato Senanayake.
L'Ophidascaris robertsi è un verme rotondo solitamente presente nei pitoni. La paziente dell'ospedale di Canberra rappresenta il primo caso al mondo di ritrovamento del parassita nell'uomo. La donna risiede vicino a una zona lacustre abitata da pitoni tappeto.
"Nonostante il contatto diretto con i serpenti, la paziente raccoglieva spesso erbe autoctone, tra cui le verdure di Warrigal, nei dintorni del lago per cucinarle", ha raccontato Senanayake. I medici e gli scienziati coinvolti nel suo caso ipotizzano che un pitone possa aver diffuso il parassita attraverso le sue feci nell'erba.
Ritengono che la paziente sia stata probabilmente infettata dal parassita direttamente toccando l'erba nativa o dopo aver mangiato le verdure. "La paziente, ora, si sta riprendendo bene e viene ancora monitorata regolarmente", ha affermato Senanayake.
Secondo i Centri statunitensi per il controllo e la prevenzione delle malattie, tre quarti delle malattie infettive nuove o emergenti nelle persone provengono dagli animali. "Il primo caso al mondo ha evidenziato il pericolo di malattie e infezioni trasmesse dagli animali all'uomo, soprattutto quando questi iniziano a vivere più a stretto contatto e gli habitat si sovrappongono maggiormente", ha specificato Senanayake.
"Negli ultimi trenta anni ci sono state circa trenta nuove infezioni nel mondo - ha continuato -. Delle infezioni emergenti a livello globale, circa il 75% è di tipo zoonotico, ovvero si è verificata una trasmissione dal mondo animale a quello umano, inclusi i coronavirus. Questa infezione da Ophidascaris non si trasmette tra le persone, quindi il caso non provocherà una pandemia come Covid-19 o Ebola.
"Tuttavia - ha precisato Senanayake - il serpente e il parassita sono presenti in altre parti del mondo, quindi è probabile che nei prossimi anni vengano riconosciuti altri casi in altri Paesi". "Alcuni casi di zoonosi potrebbero non essere mai diagnosticati se rari e i medici non sanno cosa cercare - ha avvertito Peter Collignon, medico esperto di malattie infettive e non coinvolto nel caso del paziente".
A volte le persone muoiono senza che la causa venga mai trovata. Vale la pena di prestare attenzione quando si incontrano gli animali e l'ambiente, lavando accuratamente gli alimenti, cucinandoli correttamente e indossando protezioni come le maniche lunghe per non essere morsi", ha ammonito Collignon.