AGI - In Cina, è stato diagnosticato il ragazzo più giovane con il malattia di Alzheimer: è un cinese di 19 anni. Lo riferiscono i medici del Capital Medical University di Pechino in un articolo apparso sul Journal of Alzheimer's Disease. Il giovane presentava sintomi da due anni, tra cui perdita di memoria, difficoltà di concentrazione, reazioni ritardate e difficoltà di lettura. Quando i medici lo hanno visitato, il ragazzo non riusciva nemmeno a ricordare cosa avesse mangiato a cena il giorno prima e ha dovuto ritirarsi dal suo ultimo anno di liceo.
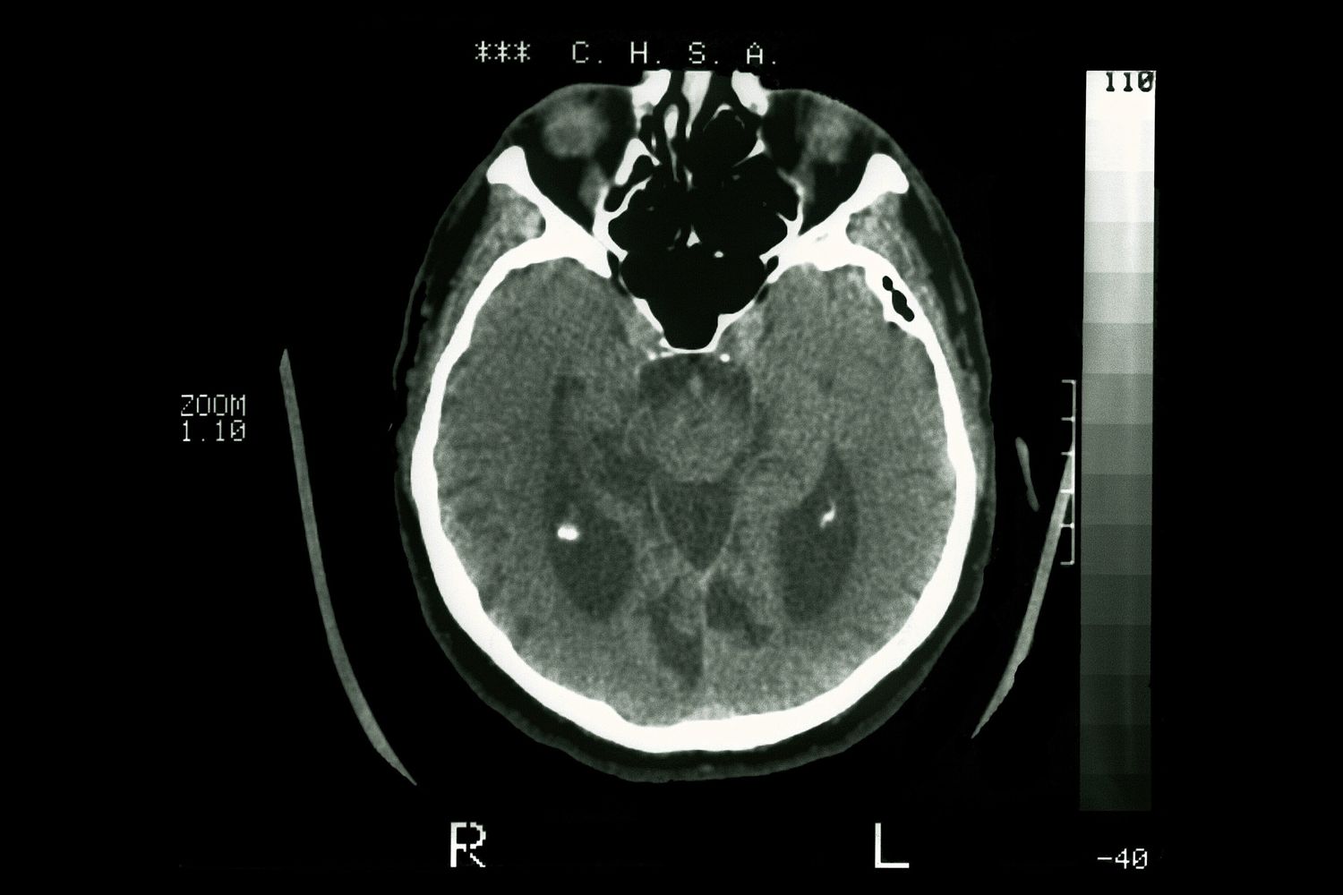
Test cerebrali hanno rivelato che il suo ipotalamo, un'area del cervello che svolge un ruolo nella cognizione, si era ridotto. Hanno anche mostrato danni al lobo temporale e livelli elevati di una proteina chiamata tau, entrambi segni distintivi dell'Alzheimer. Poi, hanno condotto una serie di test cognitivi in cui il paziente doveva ascoltare e ripetere una serie di parole dopo un ritardo breve o lungo e sono arrivati alla conclusione che la sua memoria era compromessa in modo significativo.
Ulteriori immagini cerebrali hanno mostrato che il suo ippocampo, che è responsabile delle prestazioni della memoria, era atrofizzato. L'atrofia dell'ippocampo è tipicamente attribuita all'accumulo della proteina tau che si raccoglie all'interno dei neuroni e all'accumulo di placche nel cervello causate dal morbo di Alzheimer. Poi, hanno anche testato il liquido cerebrospinale (CSF) del paziente in cui hanno trovato una concentrazione anormalmente elevata della proteina p-tau181, un biomarcatore ben noto della demenza di Alzheimer.
Per escludere la possibilità che l'adolescente fosse geneticamente predisposto a sviluppare la demenza, gli scienziati hanno eseguito il sequenziamento dell'intero genoma, una procedura di laboratorio che rivela la composizione completa del DNA di una persona. Sebbene abbiano trovato prove di placche nel liquido cerebrospinale del paziente, i ricercatori non hanno identificato le placche amiloidi tipiche e gli elevati livelli di tau nel cervello.