In Italia il 60% di chi si sottopone a esami radiologici non riceve informazioni
In Italia il 60% di chi si sottopone a esami radiologici non riceve informazioni

In Italia il 60% di chi si sottopone a esami radiologici non riceve informazioni

Roberta Secci
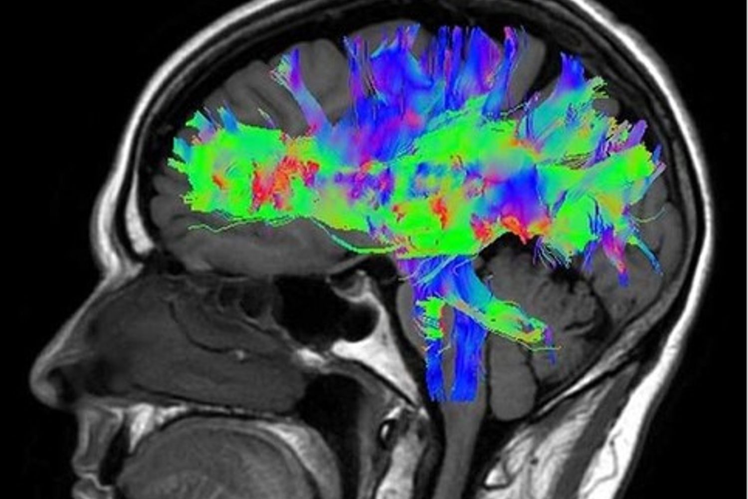
Immagine del cranio con taglio sagittale dell'encefalo
Università di Cagliari - Immagine del cranio con taglio sagittale dell'encefalo
ADV
ADV

Gli obiettivi dello studio

Come s'informano i pazienti

ADV